lunedì 26 novembre 2007
domenica 25 novembre 2007

Caccia al tesoro - vinci la salute
Le dununce non mancano. Le reazioni dell'amministrazione locale sì. Per tenere viva l'attenzione sul tema dell'amianto, l'associazione Cmc 451 vara una caccia al tesoro virtuale. Obiettivo: denunciare tutte le situazioni di degrado. Per informazioni: noamianto.blogspot.com. Serve una seria mobilitazione di tutti!
tratto da: Incammino, appunti di viaggio http://blog.libero.it/Incammino

tratto da: www.retesei.com

Ora scatta la caccia all’amianto:
a setaccio l’area di Cervinara
tratto da: www.vallecaudina.net
Fonte: Corriere dell’Irpinia 07/11/2007

Vinci la salute’ parte l’azione del movimento
Questo articolo proviene da Il Sannio Quotidiano
http://www.ilsannioquotidiano.it
La URL per questo articolo è:
http://www.ilsannioquotidiano.it/article.php?sid=28268
mercoledì 21 novembre 2007
I rischi dell'amianto - Materiale inviato dall'Associazione "La Fontana" di Cervinara
Per quanto riguarda la pericolosità dovuta all’ingestione dell’amianto, l’OMS ha dichiarato nel documento redatto nel 1994 “Direttive di qualità per l’acqua potabile” che ”non esiste alcuna prova seria che l’ingestione di amianto sia pericolosa per la salute” e quindi ”non è stato ritenuto utile stabilire un valore guida fondato su delle considerazioni di natura sanitaria, per la presenza di questa sostanza nell’acqua potabile”.
Gli effetti nocivi che si manifestano a seguito dell’inalazione di amianto sono dovuti all’instaurazione di meccanismi patogenetici di natura irritativa, degenerativa, cancerogena.
Le malattie principali sono rappresentate da:
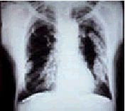
ASBESTOSI - Si tratta di un processo degenerativo polmonare, costituito dalla formazione di cicatrici fibrose sempre più estese che provocano un ispessimento e indurimento del tessuto polmonare (fibrosi interstiziale progressiva), con conseguente difficile scambio di ossigeno fra aria inspirata e sangue; questo determina nel tempo un’insufficienza respiratoria gravissima. Non esiste una terapia specifica. L’asbestosi è stata la prima patologia ad essere correlata all’inalazione di amianto; è una tipica malattia professionale che, per fortuna, va scomparendo; si manifesta per esposizioni medio-alte di 10-15 anni – effetto dose-dipendente).
MESOTELIOMA PLEURICO-PERITONEALE - È un tumore maligno che può colpire le membrane sierose di rivestimento dei polmoni (pleura) e degli organi addominali (peritoneo). Si tratta di un tumore maligno “patognomonico”, in quanto ad oggi riconosciuto solo per esposizione ad amianto, soprattutto di tipo anfibolo (crocidolite ed amosite, più del 90% dei casi). L’intervallo tra esposizione e comparsa del tumore è in genere lunga; si manifesta, infatti, dopo esposizioni, anche a basse dos,i per 25-40 anni rappresentando, pertanto, epidemiologicamente un tumore cosidetto “sentinella”, in quanto con la sua presenza segnala l’esistenza di una fonte inquinante.A differenza dell’asbestosi, per cui è necessaria un’esposizione intensa e prolungata, per il mesotelioma non è possibile stabilire una soglia di rischio, ossia un livello di esposizione così ridotto all’amianto, al di sotto del quale risulti innocuo. Il decorso della patologia è molto rapido. La sopravvivenza è in genere inferiore a un anno dalla scoperta del tumore. Non sono state individuate terapie efficaci.
CANCRO POLMONARE - Si verifica per esposizioni non specifiche, in cui l’abitudine al fumo è elemento determinante per l’effetto sinergico. Come per l'asbestosi anche per i carcinomi polmonari è stata riscontrata una stretta relazione con la quantità totale di asbesto inalata e con l'abitudine al fumo di sigaretta. Nei non fumatori esposti ad asbesto il rischio relativo è risultato circa 5 volte superiore alla popolazione generale, mentre è 50 volte superiore nei fumatori esposti ad asbesto. Il tumore presenta una latenza 15-20 anni dal momento dell’esposizione all’asbesto.
ALTRE NEOPLASIE - Numerosi studi hanno evidenziato che la mortalità per tumori in genere è più alta nei lavoratori esposti alle polveri di asbesto che nella popolazione generale, e in particolare sembrano più frequenti i tumori del tratto gastro-intestinale e della laringe. L'aumento della frequenza per queste malattie è comunque molto inferiore rispetto a quello descritto per i tumori polmonari.
PLACCHE PLEURICHE - Si tratta di ispessimenti benigni del tessuto connettivo della pleura, più o meno estesi, talora calcificati.
Fattori determinanti per la respirabilità delle fibre sono il diametro e la forma:
Le fibre di crisotilo (amianto serpentino), avendo una forma sinuosa, sono meno penetranti, mentre le fibre di crocidolite e amosite (anfiboli), avendo forma aghiforme, penetrano più facilmente nei polmoni fino a raggiungere gli alveoli, se di dimensioni molto piccole.
Le fibre cosiddette “normate” sono quelle che l’OMS ha stabilito avere lunghezza maggiore di 5 micron, larghezza inferiore a 3 micron e rapporto lunghezza/larghezza superiore a 3:1, parametri che insieme costituiscono il cosiddetto “diametro aerodinamico”.
Il comportamento aerodinamico delle fibre, condiziona la loro possibilità di raggiungere le vie respiratorie più periferiche e depositarvisi, condizionando cioè, la loro “respirabilità o biodisponibilità” e conseguentemente, insieme alle caratteristiche chimiche, la permanenza nel tessuto biologico “bioresistenza”, rendendo difficile il tentativo di inglobamento ed eliminazione da parte dei macrofagi interstiziali.
Proprio per queste caratteristiche interattive, la bioresitenza delle fibre di amianto è nettamente diversa da quella presentata dalle fibre minerali artificiali di vetro (MMMF mam made mineral fibers), il che spiega il loro maggiore potere patogenetico rispetto a queste ultime.
A seconda delle dimensioni delle fibre, queste potranno, se sufficientemente piccole, superare gli alveoli polmonari e per via linfatica, raggiungere i linfonodi ilari, il grosso intestino e la pleura, mentre, aumentando la grandezza, le fibre più lunghe si fermeranno agli alveoli e proseguendo verso l’alto nella scala dimensionale, parallelamente si fermeranno, via via sempre più su, nell’albero bronchiale e nelle prime vie respiratorie.
L’art. 3 della legge 257/92 fissa, per il crisotilo, un TLV di 0,6 fibre/cm3, mentre per tutte le altre varietà di amianto, sia isolate che in miscela, ivi comprese quelle contenenti crisotilo, l’art. 31 del D.Lg.vo 277/1991, cui si rifà la 257/92 per la definizione dei limiti, fissa un TLV di 0,2 fibre/cm3, per un periodo di riferimento di 8 ore.
mercoledì 7 novembre 2007
lunedì 5 novembre 2007

Lanciamo il primo concorso, virtuale & sociale, per difendere il nostro ambiente.
Chiediamo una mano a tutti/e affinchè la creatività delle nuove generazioni possa reagire al grigiore "amianto" dei vecchi, dentro e fuori...
La "Caccia al tesoro" è aperta a singoli ed associazioni che hanno a cuore la problematica e per ulteriori informazioni vi preghiamo di contattarci tramite il nuovo indirizzo di posta elettronica:
noamianto@libero.it
Le foto inviate saranno pubblicate su questo blog e le migliori pubblicate sul calendario
"NO AMIANTO 2008", che punterà a sensibilizzare TUTTI i giorni la popolazione sulla tematica ambientale.
Mentre, per quanto riguarda i video, allestiremo una serie di proiezioni.
Abbiamo intenzione di organizzare delle manifestazioni entro dicembre, sia nelle scuole che nelle strutture pubbliche e al momento chiunque abbia voglia di LOTTARE è pregato di farsi vivo!
VINCI LA SALUTE!
DIFFONDI LA LOTTA ALL'AMIANTO!

Abbiamo ricevuto da Karol Y. Hurtado questo invito:
"Vorrei avere maggiori informazioni sul amianto e sui prodotti..E come farlo fuori."
Ecco la nostra risposta...
L’amianto, materiale identificato come tossico per l’ambiente, è oggetto di una attenta rilettura per quanto riguarda le problematiche, gli aspetti legislativi e le tecniche di bonifica
L’ambiente ha assunto connotati sempre più rilevanti sia in campo civile che legislativo: per questo motivo sono particolarmente attuali le problematiche inerenti la dismissione dei materiali tossici, come l'amianto.L'amianto, noto anche come asbesto, è un materiale fibroso presente in natura e proveniente dalla trasformazione chimica di rocce eruttive.
Il Crisotilo o amianto bianco è, dei sei tipi comunemente usati, quello che ha trovato maggiori applicazioni, soprattutto in edilizia; è costituito da un unico filamento che racchiude fibre forti ma flessibili che consentono un'agevole tessitura.
Le particolari caratteristiche chimico-fisiche (l'inerzia chimica, la resistenza agli acidi e alle basi, la flessibilità, la coibenza termica, l'ignifugità, solo per citarne alcune) il basso costo e la facilità di lavorazione hanno favorito la sua diffusione
Nel nostro paese, l’amianto ha conosciuto un largo impiego negli anni dello sviluppo economico e produttivo tra il 1950 e la fine degli anni ‘70. E’ stato utilizzato soprattutto in edilizia (al 70,80% della produzione) per la realizzazione di tegole, lastre, tubazioni, rivestimenti per soffitti e pareti: è possibile individuare quattro categorie principali di prodotti contenenti amianto:
- materiali da rivestimento applicabili a spatola o a spruzzo;
- rivestimenti isolanti per tubi e caldaie;
- pannelli ad alta densità tipo lastre di cemento-amianto (comunemente noti come "eternit" dalla principale azienda produttrice);
- pannelli a bassa densità.
Anche nell'industria tessile (per la trasformazione di filati e tessuti), in quella siderurgica, nel settore dei trasporti, nella realizzazione di condutture e filtri industriali, nella fabbricazione di tubazioni e cisterne per l'acqua l’amianto veniva largamente utilizzato. E’ evidente come la diffusione del materiale sia stata capillare sia in edifici di privata abitazione, sia nell’edilizia pubblica (scuole, palestre, piscine, cinematografi, uffici, ecc.).
L’origine della pericolosità dell'asbesto risiede nel naturale processo di disgregazione delle fibre, e nel conseguente rilascio di polveri tossiche che lo contraddistingue.
Questa caratteristica negativa è conosciuta sin dal 1927, in seguito all’identificazione dell’asbestosi (una patologia professionale) come malattia polmonare cronica. Negli anni ’50 è stata attribuita con certezza alla presenza dell’amianto l’insorgenza di forme tumorali, oltre alle conseguenze sull'inquinamento ambientale ed atmosferico.
La nocività dell’amianto è anche dovuta ad una delle caratteristiche principali della sua struttura fisica dell'amianto: la capacità di suddividersi longitudinalmente in fibre di sezione sempre minore che si disperdono in maniera direttamente proporzionale alla sollecitazione meccanica provocata. Gli sbalzi termici, lo smog e le piogge acide. le infiltrazioni d'acqua, la mancanza di manutenzione e l'usura accelerano notevolmente questo fenomeno; inoltre le fibre d'amianto, invisibili e leggere, una volta depositate vengono facilmente rimesse in movimento da qualsiasi spostamento d'aria e, a causa delle notevoli capacità aerodinamiche di cui sono dotate, possono spostarsi anche per grandi distanze dal luogo d’origine.
Oggi la produzione e commercializzazione dell’asbesto non è più consentita nel nostro Paese. La Comunità Europea, ha emanato, nello scorso decennio, alcune normative in materia, accolte in Italia con il D.Lgs n.277 dell'agosto del 1991, seguito dalla Legge del 27 marzo 1992 n.257 contenente "Norme relative alla cessazione dell'impiego dell'amianto".
Nella L.257 vengono vietate "...l'estrazione, l'importazione, l'esportazione, la commercializzazione e la produzione di amianto, prodotti di amianto, o di prodotti contenenti amianto e dettate direttive per "...la dismissione dell'uso e del commercio ... per la realizzazione di misure di decontaminazione e di bonifica delle aree interessate dall'inquinamento di amianto...”.
La Legge definisce inoltre i limiti delle procedure e dei metodi di analisi per la misurazione dei valori di inquinamento da amianto. Nonostante la legge dia chiare indicazioni e nonostante risalga ormai a cinque anni fa, tuttavia i materiali contenenti asbesto sono ancora numerosissimi: stime approssimative rilevano che nel nostro Paese esistono ancora oggi oltre due miliardi e mezzo di metri quadrati di coperture di cemento-amianto da rimuovere.
Appare evidente come il problema amianto non possa essere approcciato solo in termini di bonifica radicale; risulta necessario individuare altre forme di intervento che ne riducano comunque la pericolosità.
La pubblicazione del terzo Decreto del Ministero della Sanità del 14 maggio 1996 sulla bonifica dell'asbesto, correda il panorama legislativo in materia di ulteriori e specifici disciplinari.
Al Decreto sono uniti cinque allegati riguardanti:
- norme e metodologie tecniche per la valutazione del rischio, il controllo e il rischio dei siti industriali dismessi analizzando, in particolare, le problematiche inerenti il degrado delle strutture edilizie e le forme inquinanti derivanti da contaminazione del terreno; - principi per la manutenzione e l'uso di prefabbricati contenenti amianto; - principi per la manutenzione e l'uso di cassoni e tubazioni utilizzati per il trasporto e deposito di acque potabili e non;
- criteri sulla classificazione delle pietre verdi destinate all'uso ornamentale; - requisiti per i laboratori per svolgere attività di analisi sull'amianto.
In presenza di prodotti contenenti amianto e di lastre di copertura in cemento amianto l’operatore potrà osservare un iter procedurale che lo agevolare nel lavoro.
La prima operazione prevede il riconoscimento del materiale attraverso una ispezione preventiva che contempli, oltre alla ricerca di eventuali elaborati tecnici circa l'erezione dell'edificio oggetto di intervento, la visione diretta dei materiali per una prima distinzione tra quelli friabili e quelli a potenziale tenore di amianto.
Altra tappa importante dell'operazione di bonifica prevede la verifica dello stato di conservazione dei materiali friabili per l'identificazione del potenziale di rilascio delle fibre aereodispersive.
Sono diverse sono le metodologie di intervento in caso di bonifica da amianto tra cui:
- tecniche di rimozione;
- tecniche di incapsulamento;
- tecniche di confinamento;
- tecniche di glove-bag,
L’impresa appaltatrice dei lavori di bonifica debba procedere, prima dell’inizio delle operazioni di demolizione e rimozione del materiale, alla stesura di un piano di lavoro da presentare all’organo preposto di vigilanza e controllo; decorsi 90 giorni dalla presentazione del piano è possibile iniziare i lavori.
Sono complesse le problematiche relative alla rimozione dell'amianto. Viene considerata obbligatoria la completa rimozione dei materiali contenenti amianto quando i valori di dispersione delle fibre, nell'ambiente circostante, sono superiori a 100 mg/kg. Attraverso getti diffusi a bassa pressione, si procede all'imbibizione in situ del materiale, utilizzando saturanti solitamente di tipo vinil acrilico simili a quelli utilizzati per l'incapsulamento, che consentono il fissaggio delle fibre in fase di distacco. l:operazione, ripetuta per due volte, porta alla completa saturazione del materiale e precede la fase di rimozione del materiale che, ancora umido, deve essere immediatamente insaccato e confezionato.I residui di fibre vanno eliminati attraverso ulteriori interventi a umido spazzolato o spatolato, sulle zone trattate.
Talvolta, al termine della rimozione, per migliorare i risultati del monitoraggio dell'aria all'interno del locale, si procede alla nebulizzazione nell'aria ed allo spruzzo sulle superfici, di speciali prodotti che abbattono e trattengono le fibre ancora eventualmente presenti.
Ai termine del lavoro di bonifica si pone il problema dello stoccaggio e dello smaltímento del materiale tossico rimosso vero e proprio e dei filtri delle maschere utilizzate dagli operatori oltre che l'acqua utilizzata per l'operazione.
Una efficace alternativa alla rimozione è rappresentata dall'incapsulamento.
L'incapsulamento è attuabile quando il materiale non è deteriorato, non è stato danneggiato dall'acqua, appare ben ancorato alla superficie sottostante ed è spesso meno di 3,8 cm.
Questa procedura riduce i costi dell'operazione, si distingue per la sua velocità di esecuzione, per la riduzione del rischio nei confronti degli operatori e per il minor livello di inquinamento ambientale.
Il prodotto incapsulante che può essere scelto - emulsioni polimeriche, pellicolanti vinilici, membrane bituminose ecc. - dipende dalle caratteristiche del materiale da trattare.
Durante l'operazione di incapsulamento la superficie viene trattata con dei sigillanti o di tipo penetrante, che saturano ed induriscono il materiale contenente amianto, o di tipo superficiale che, formando una membrana superficiale, impediscono il rilascio delle fibre.
Nel caso di lastre in cemento-amianto il prodotto deve essere impiegato su entrambe le facce ed è necessario prevedere una preliminare pulitura ad umido per eliminare eventuali polveri o muschi. L’evidente svantaggio di questa tecnica risiede nel permanere nell'edificio del materiale inquinante e la conseguente necessità di procedere a controlli periodici sull'efficacia del trattamento e sul livello di conservazione delle strutture.
Un’altra alternativa:
La tecnica di confinamento è una procedura applicabile solo nei casi in cui la superficie da bonificare sia particolarmente ristretta. Prevede la costruzione di muri o soffitti intorno al materiale oppure alla posa in opera di elementi prefabbricati o diaframmi in polietilene armato costituenti barriere artificiali fissate meccanicamente o applicate a spruzzo. Volendo trattare lastre in cemento-amianto è possibile applicare una sovracopertura alle stesse con appositi materiali isolanti, che permettono un mantenimento in opera del tetto per una durata di 20-30 anni. Più di recente si è diffuso il ricorso a lastre sigillanti (fibrocemento, polietilene, acciaio, vetroresina ecc.) aventi passo uguale a quello degli elementi in opera che quindi ne risultano perfettamente ricoperti. L’ulteriore vantaggio in questo caso è un valido potenziamento degli standard di isolamento acustico e termico della struttura.
Glove-bag
sacco incubatrice per le tubazioni isolate con materiale contenente amianto.
La tecnica del glove-bag o sacco-incubatrice è stata sviluppata per le tubazioni isolate con materiale contenente amianto, difficilmente raggiungibili o isolabili. Si tratta di prodotti in PVC o polietilene disponibili in diversi formati a seconda delle specifiche esigenze, adeguati per la rimozione di materiale inquinante in maniera rapida e sicura sia per l'operatore che per gli utenti. Gli elementi da rimuovere vengono spruzzati con formulati bagnanti per la loro totale imbibizione; al termine del processo di incapsulamento, la cella viene posta in depressione, pressata e sigillata con del nastro adesivo per renderla idonea al trasporto nelle discariche autorizzate
di Chiara Icardi
tratto da:


